Преди и след
Clinical Cases
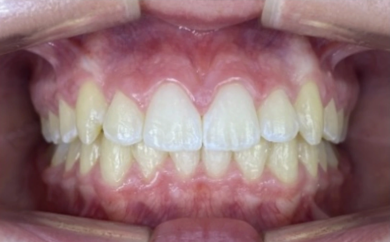
Алайнери
Невидими алайнери – естетично и дискретно подреждане на зъбите.
Тийнейджър – Алайнери, 14 г.
Профил на пациента: Момиче, 14 г., струпани предни зъби, желание за невидима корекция.
Използвани процедури: Пълна дигитална диагностика, алайнери, контрол на всеки 2 седмици.
Възрастен – Алайнери, 28 г.
Профил на пациента: Мъж, 28 г., леко кривене на долни зъби, активен начин на живот.
Използвани процедури: 3D сканиране, персонализиран план с алайнери, 12 месеца лечение.
Комплексен случай – Алайнери, 35 г.
Профил на пациента: Жена, 35 г., разстояния между зъбите, лека протрузия.
Използвани процедури: Дигитална диагностика, комбинирано лечение с алайнери и бондинг, 18 месеца.
Брекети
Класически и естетични брекети за надеждно подреждане на зъбите.
Металични брекети, 16 г.
Профил на пациента: Момче, 16 г., значително кривене, нужда от надеждна корекция.
Използвани процедури: Класически метални брекети, редовни корекции, 24 месеца.
Керамични брекети, 22 г.
Профил на пациента: Жена, 22 г., желание за дискретно лечение с брекети.
Използвани процедури: Естетични керамични брекети, цвят адаптиран към емайла, 18 месеца.
Детска дентална
Профилактика, лечение, алайнери за деца и щадящ подход.
Момче, 9 г. – криви резци
Профил на пациента: Момче, 9 г., криви предни зъби, добра орална хигиена.
Използвани процедури: Детски алайнери, профилактика, игрова среда за комфорт.
Импланти
Импланти и протетика за възстановяване на дъвкателна функция и естетика.
All-on-4 импланти, 58 г.
Профил на пациента: Мъж, 58 г., пълна липса на зъби в горна челюст.
Използвани процедури: All-on-4, временна протеза, окончателна керамична конструкция след 6 месеца.
Хирургия
Комплексна хирургия с международен експерт.
Костна аугментация, 45 г.
Профил на пациента: Жена, 45 г., необходимост от костна аугментация преди имплант.
Използвани процедури: Хирургична аугментация с биоматериал, 6 месеца възстановяване, имплант.
Преди и след
Clinical Cases
Алайнери
Невидими алайнери – естетично и дискретно подреждане на зъбите.
Тийнейджър – Алайнери, 14 г.
Профил на пациента: Момиче, 14 г., струпани предни зъби, желание за невидима корекция.
Използвани процедури: Пълна дигитална диагностика, алайнери, контрол на всеки 2 седмици.
Възрастен – Алайнери, 28 г.
Профил на пациента: Мъж, 28 г., леко кривене на долни зъби, активен начин на живот.
Използвани процедури: 3D сканиране, персонализиран план с алайнери, 12 месеца лечение.
Комплексен случай – Алайнери, 35 г.
Профил на пациента: Жена, 35 г., разстояния между зъбите, лека протрузия.
Използвани процедури: Дигитална диагностика, комбинирано лечение с алайнери и бондинг, 18 месеца.
Брекети
Класически и естетични брекети за надеждно подреждане на зъбите.
Металични брекети, 16 г.
Профил на пациента: Момче, 16 г., значително кривене, нужда от надеждна корекция.
Използвани процедури: Класически метални брекети, редовни корекции, 24 месеца.
Керамични брекети, 22 г.
Профил на пациента: Жена, 22 г., желание за дискретно лечение с брекети.
Използвани процедури: Естетични керамични брекети, цвят адаптиран към емайла, 18 месеца.
Детска дентална
Профилактика, лечение, алайнери за деца и щадящ подход.
Момче, 9 г. – криви резци
Профил на пациента: Момче, 9 г., криви предни зъби, добра орална хигиена.
Използвани процедури: Детски алайнери, профилактика, игрова среда за комфорт.
Импланти
Импланти и протетика за възстановяване на дъвкателна функция и естетика.
All-on-4 импланти, 58 г.
Профил на пациента: Мъж, 58 г., пълна липса на зъби в горна челюст.
Използвани процедури: All-on-4, временна протеза, окончателна керамична конструкция след 6 месеца.
Хирургия
Комплексна хирургия с международен експерт.
Костна аугментация, 45 г.
Профил на пациента: Жена, 45 г., необходимост от костна аугментация преди имплант.
Използвани процедури: Хирургична аугментация с биоматериал, 6 месеца възстановяване, имплант.
Discover
my works
Write one or two paragraphs describing your product or services. To be successful your content needs to be useful to your readers.
Start with the customer – find out what they want and give it to them.
Видео истории на пациенти
Реални хора споделят своя опит и резултати
Видео истории на пациенти
Реални хора споделят своя опит и резултати
Готови ли сте да промените вашата усмивка?
Направи първата крачка към по-красива усмивка
Запази безплатна консултацияГотови ли сте да промените вашата усмивка?
Направи първата крачка към по-красива усмивка
Запази безплатна консултация